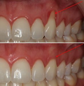
عقبرفتگی لثهها، یکی از مشکلات شایع دهان و دندان است که با نمایانکردن ریشه دندانها باعث افزایش حساسیت و در نتیجه ساییدگی آنها میشود. این وضعیت که به دلایل مختلفی از قبیل افزایش سن، بیماری لثه، ژنتیک و … اتفاق میافتد، با پیوند لثه توسط پریودنتیست درمان میشود. در این روش، تکهای از بافت سالم لثه برداشته و برای اصلاح ناحیه آسیبدیده مورد استفاده قرار میگیرد.
پیوند لثه چیست؟
پیوند لثه (GUM grafting)نوعی روش درمانی است که از آن جهت اصلاح و بهبود بافت لثه تحلیلرفته استفاده میشود. طی این جراحی، بافت لازم برای پیوند عموماً از سقف دهان (کام) برداشت میشود. سپس، ناحیه موردنظر بیحس شده و بافت روی آن بخیه زده میشود. این جراحی نسبتاً ساده است و پس از اتمام آن، میتوان مطب را ترک نمود.
چه کسانی به پیوند لثه نیاز دارند؟
معمولاً تمامی کسانی که مشکلات لثهای دارند، به جراحی پیوند لثه روی میآورند؛ همچنین افراد با شرایط زیر نیز کاندید پیوند لثه هستند:
- اگر عقبرفتگی لثه فرد به حدی باشد که ریشه دندانها، نمایان باشد، میتوان گفت کاندید مناسبی برای این جراحی است، چرا که این مسئله باعث حساسیت دندانها و در نتیجه بروز مشکلات جدیتری مانند التهاب و عفونت لثه میشود.
- نازکی و ضعیفی لثه از دیگر مواردی است که افراد را به سمت پیوند لثه سوق میدهد.
- عده معدودی از افراد نیز به دلایلی از ظاهر لثههای خود ناراضی هستند. این افراد ممکن است با پدیده لبخند لثهای مواجه شوند که نارضایتی و عدم اعتمادبهنفس را به همراه دارد.
مزایای پیوند لثه چیست؟

پیوند لثه عوارض ناشی از تحلیل لثه را کاهش داده و به زیبایی لبخند کمک میکند؛ ضمناً با تقویت لثهها، احتمال ابتلا به سایر مشکلات دندانی و لثهای نیز به حداقل نیز میرسد. این جراحی، مزایای دیگری را هم به همراه دارد که عبارتند از:
- بهبود اعتمادبهنفس
- بهبود و تثبیت وضعیت لثه
- بازسازی و تقویت بافت لثه
- کاهش قابل توجه حساسیت دندانها
- بهحداقلرساندن خطر پوسیدگی دندانها
- جلوگیری از عقبنشینی لثه و محافظت از ریشه
- کاهش احتمال ابتلای به بیماریهای دهان و دندان
انواع پیوند لثه

بسته به شریط خاص بیمار و بر اساس وضعیت بافت لثه و استخوان فک، دندانپزشک پریودنتیست یکی از انواع پیوندهای لثه را انتخاب میکند. هر کدام از این روشها ویژگی و مزایای خاص خودشان را دارند که شامل سه دسته اصلی میشوند.
پیوند بافت فلپ (اتصال)
در روش پیوند بافت فلپ، دندانپزشک کار خود را ابتدا با یک برش کوچک در سقف دهان شروع میکند. این برش به شکل یک “فلپ” است که باعث میشود به بافت نرم زیر آن دسترسی پیدا کند. سپس، بخشی از این بافت از زیر لایههای سقف دهان برداشته و برای ترمیم لثه آسیبدیده استفاده میشود. بعد از پوشش ریشه دندان آسیبدیده، جراح فلپ را بخیه میزند.
پیوند لثه آزاد
پیوند لثه آزاد به طور خاص برای آن دسته از افرادی طراحی شده که بافت لثه نازک و ضعیفی دارند. در این روش، متخصص لثه با بررسی وضعیت لثهها، میزان بافت موردنیاز جهت جبران نازکی لثه را تشخیص میدهد. او برای ترمیم لثه نازک، مقدار مشخصی از بافت نرم را از لایه فوقانی سقف دهان جدا و به لثه آسیبدیده منتقل میکند. این عمل به دلیل احتمال آسیب به نواحی دیگر دهان، از حساسیت بالایی برخوردار است، از اینرو، باید با دقت زیادی صورت گیرد.
پیوند لثه پدیکال (جانبی)
روش پیوند جانبی بیشتر برای افرادی که دارای بافت لثه ضخیمی در مجاورت دندان آسیبدیده هستند، مناسب است. در این تکنیک، دندانپزشک بدون برداشتن بافت از سقف دهان، ریشه دندان آسیبدیده را پوشش میدهد.
جراح با بررسی ناحیه لثه، سعی دارد تا بهترین نقاط جهت برداشت بافت را شناسایی کند. او برای اینکار، بافت لثه را از نواحی نزدیک به دندان برداشته و لثه را به سمت دندان میکشد تا ریشه پوشانده شود. با استفاده از پیوند پدیکال، بیمار درد خفیفی را تجربه میکند؛ بهعلاوه بهبودی نیز سریعتر صورت میگیرد.
آیا پیوند لثه درد دارد؟
جراحی پیوند لثه به خودی خود دردناک نیست! از آنجا که این عمل تحت بیحسی موضعی انجام میشود؛ بنابراین درد خفیفی را احساس میکنید، اما میزان و شدت درد نیز بسته به نوع پیوند انجامشده دارد.
اگر دندانپزشک از بافت لثه برداشته باشد، طبیعتاً درد بیشتری را تجربه میکنید. این در حالی است که جراحی با استفاده از بافتهای پیوندی بیگانه با درد کمتری همراه است، اما در نهایت درد جراحی پیوند لثه نیز یک الی دو روز بیشتر طول نمیکشد و بعد از این مدت، کاملاً از بین میرود. (نکته: در صورت درد، قرمزی، تورم و یا خونریزی لثه حتماً به دندانپزشک مراجعه کنید).
تحقیقات نشان داده، حدود ۳۰ درصد از بیماران درد شدیدی بعد از جراحی تجربه میکنند. از اینرو، به منظور کاهش درد و ناراحتی بعد از عمل پیوند لثه، میتوانید از مسکنهایی که دندانپزشک شما تجویز میکند، استفاده نمایید؛ بهعلاوه، از خوردن غذاهای نرم و سرد نیز خودداری کنید.
هزینه پیوند لثه چقدر است؟
پیوند لثه چقدر هزینه برمیدارد؟ این سوالی است که ذهن اغلب بیماران کاندید پیوند را درگیر خود کرده است. به طور کلی، این هزینه بر اساس فاکتورهای متعددی تعیین میشود. شرایط جسمی و سنی بیمار، محل جراحی، نوع بیمه و نوع روش جراحی همگی میتوانند هزینه عمل را کاهش یا افزایش دهند. در این راستا بدیهی است، کلینیکها و درمانگاههایی که به تجهیزات پیشرفتهتری مجهز هستند، هزینه بالاتری دریافت نمایند.
هزینه پیوند لثه در سال ۱۴۰۲ بین ۶ تا ۸ میلیون تومان بود، اما در حال حاضر این رقم بسته به فاکتورهای بالا ممکن است کمتر یا بیشتر نیز شده باشد. در هر حال، برای اطلاع دقیق از هزینه جراحی و پوششهای بیمهای، توصیه ما این است که پیش از جراحی، حتماً با یک دندانپزشک متخصص مشورت کرده تا با ارائه بهترین راهکارها، شما را در تصمیمگیری درست یاری کند.
بهترین مرکز تخصصی پیوند لثه در آمل
اگر برای انجام جراحی پیوند لثه یا درمان مشکلات دندانی با هزینه مناسب، به دنبال بهترین مرکز تخصصی و در عینحال معتبر هستید، کلینیک دکتر فرهاد دباغ ستاری پیشنهاد ما به شماست! ایشان فارغالتحصیل و دکترای دندانپزشکی عمومی و تخصصی از دانشگاه علوم پزشکی بابل هستند. دکتر از سال ۱۳۹۱ موفق به اخذ بورد تخصصی در این رشته شدند.
تجربه و تخصص دکتر فرهاد دباغ ستاری در درمان انواع بیماری های دندانی، این اطمینان را به شما میدهد که تحت درمان متخصص باسابقه و مجربی هستید. کلینیک ایشان به بهترین خدمات درمانی تجهیز شده است؛ بهعلاوه دارای کادر متخصص و مجربی است که با دقت و تعهد کامل، به ارتقای سلامت دهان و دندان بیماران خود میپردازند.
جمعبندی
اگر به تازگی متوجه حساسیت شدید لثه به مواد غذایی گرم یا سرد شدهاید و یا احساس درد در این ناحیه دارید، پس به احتمال زیاد لثههایتان تحلیل رفته است! جراحی پیوند لثه بهترین راهحل برای درمان لثه و پوشش ریشه دندانها محسوب میشود. به منظور بهرهمندی از خدمات درمانی باکیفیت و دریافت نتایج مطلوب، میتوانید به کلینیک دکتر فرهاد دباغ ستاری مراجعه نمایید.