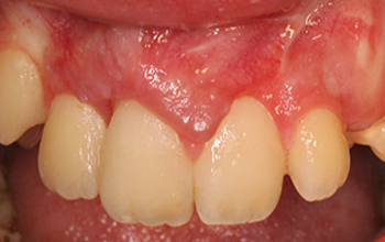
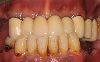
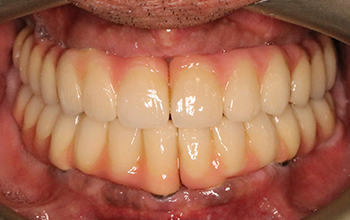
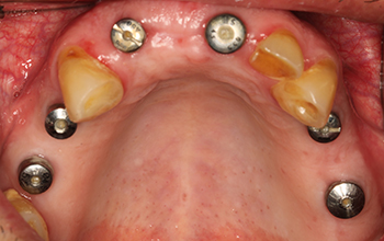
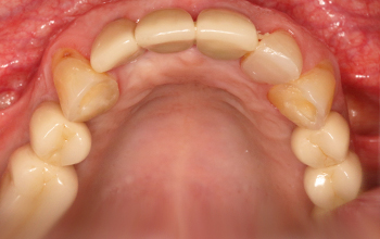
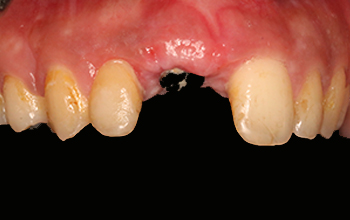
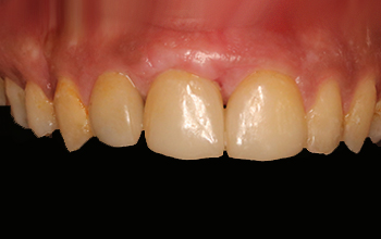
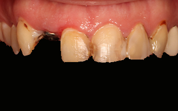
نمونه درمان
دکتر ستاری، متخصص جراحی لثه و با تجربه، با سالها فعالیت حرفهای در حوزه دندانپزشکی، همواره تلاش کردهاند تا با ارائه خدمات درمانی با کیفیت و استفاده از پیشرفتهترین تکنولوژیها، لبخندی زیبا و سالم را به مراجعین خود هدیه دهند. در این صفحه، نمونههایی از کارهای موفق و پروژههای درمانی ایشان به نمایش گذاشته شده است تا شما بتوانید با اطمینان بیشتر، خدمات ایشان را انتخاب کنید.


















همین حالا از ما نوبت دندان پزشکی بگیرید
با بهترین تجهیزات سلامتی را به دهان و دندان شما باز می گردانیم.